
ツイッターでこの画像を見て度肝を抜かれた。

実は奥歯を一本インプラントにしているのだが、かみ合わせの大切さを痛感している。歯のかみ合わせで腰痛や首痛、果てはうつ病まで関係するらしい。
以下のリンク先に咬み合わせと全身、不定愁訴との関係について記載がある。
すべて自分に当てはまる。
しかも、自分は骨隆起のひどいので歯医者で手術して除去した経験があるのでなおさら歯のケアの重要性を痛感している。話しづらくなって本当に困っていた。
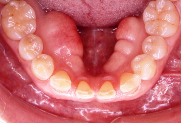
骨隆起についてご存じない方はこちら
下顎がこんな感じでした。

やっぱり歯のケアは重要です。私は通常の歯ブラシの他にデンタルフロス、シュミテクト、舌ブラシ、デンタルタフトでケアして、仕上げにコンクールFでマウスウォッシュしている。ヨドバシで買えば送料無料だ。
一番安いもので良いので一式揃えてみてはいかがでしょうか?インプラント1本治療するのに20~30万円位するので安いと思うのだが。
<この項、了>











